Piroplasmosis, also known as babesiosis, is a parasitic infection transmitted by ticks that is particularly prevalent in warm climates. Horses, dogs, and humans are all susceptible to this infection. If left untreated, the disease can be fatal.
The disease is caused by two types of single-celled microorganisms, Babesia caballi and Babesia equi. The pathogens are transmitted to horses by various species of ticks. From the point of entry, the pathogens enter the bloodstream, multiply in the horse's red blood cells and destroy them.
After an incubation period (the time between infection and the onset of clinical symptoms) of 1 to 2 weeks, the first signs of the disease appear.
The disease can be peracute, acute, or chronic. The peracute form is characterized by sudden high fever followed by anaphylactic shock or pulmonary edema, which usually leads to death within 1 to 2 days. The acute course is characterized by fever, exhaustion, increased heart and respiratory rates, loss of appetite, pale or yellowish mucous membranes, and in some cases sweating and colic. The destruction of red blood cells releases red blood pigment, which can cause the urine to turn dark. Diarrhea may also occur as anemia progresses. The acute phase lasts 6 to 12 days. A chronic course is sometimes only evident through gradual weight loss, reduced performance, and recurring fever spikes. Slowly developing hind limb weakness can ultimately lead to the animal becoming recumbent.
In some animals, latent (not visible) infection, which can be lifelong, may occur after transmission of the pathogen. These horses are not sick, but they carry the pathogen and thus serve as a reservoir. The immune system reacts to the parasite by producing antibodies, which is why these "invisible" carriers can be identified with the help of certain blood tests. The disease can break out in stressful situations, as a result of a weakened immune system due to other diseases, or during pregnancy.
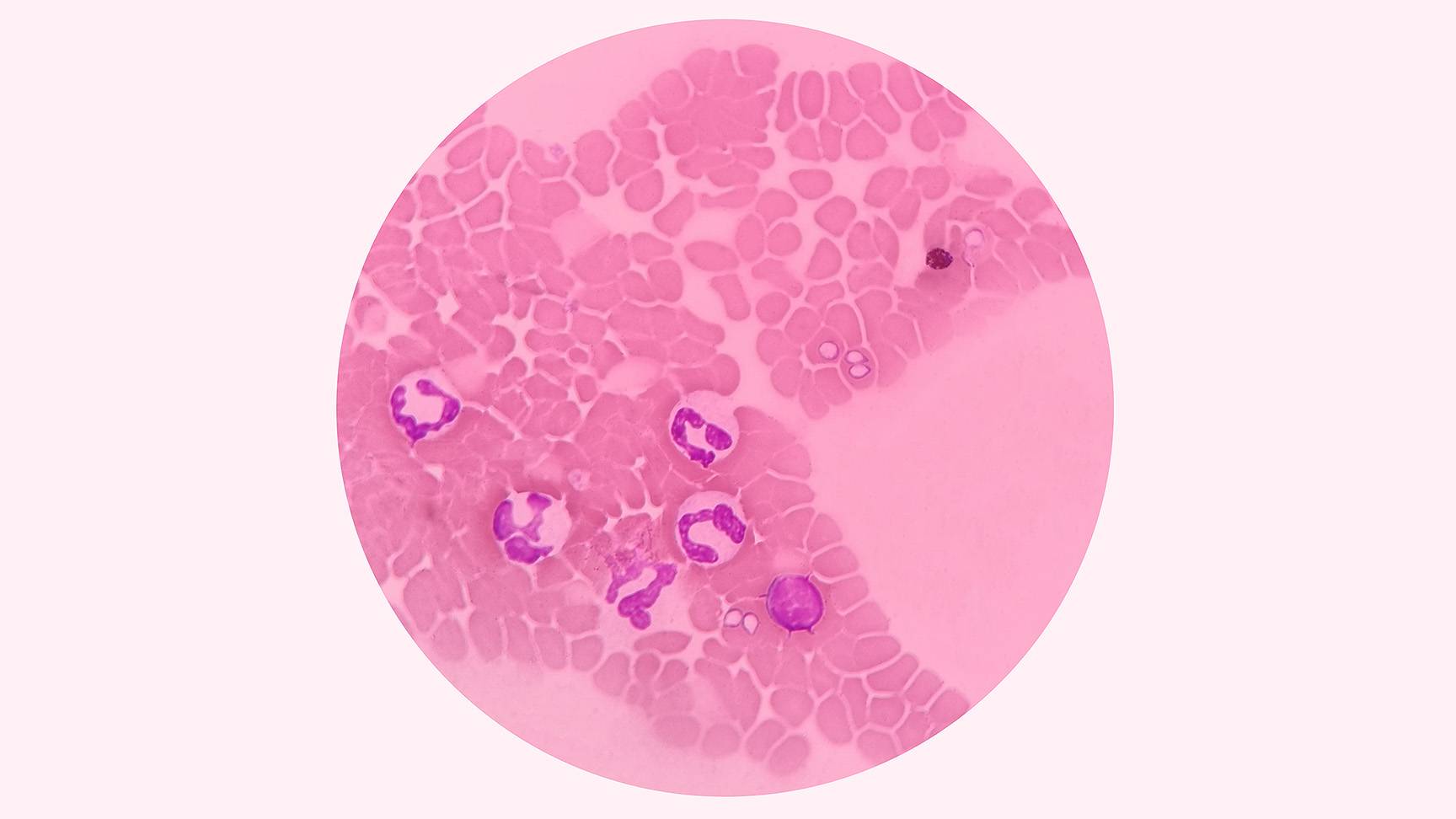
Based on the clinical findings obtained by the veterinarian during the general examination and the information provided by the owner in the preliminary report, the veterinarian will be able to make a preliminary diagnosis. To confirm the diagnosis and rule out similar diseases, the veterinarian may perform various blood tests. During the acute infection, the pathogens can be detected directly under a microscope in a stained blood smear. However, the absence of Babesia does not rule out infection, as parasitemia (the presence of parasites in the blood) may have occurred before the clinical symptoms appeared. Special antibody tests can be used to determine whether a horse has already had contact with the pathogen. This also allows hidden carriers to be detected. The blood count also provides valuable information about damage to other organs, such as the liver, kidneys, and spleen.
In any case, immediate veterinary treatment is absolutely necessary if the above symptoms are detected. The type of treatment depends on the region in which the affected horse lives. In areas where piroplasmosis is widespread, the aim of treatment is to reduce the symptoms without completely eradicating the pathogen from the body. The reason for this type of treatment is that constant, low levels of the pathogen help the organism to build up a better and more lasting defense against the babesia. If such a horse is to be moved to a piroplasmosis-free area, it must of course be tested beforehand and possibly treated again. In regions where piroplasmosis is not normally present, the aim of treating infected animals is to completely eradicate the pathogen.
Different active ingredients can be used in both cases. Please discuss the exact procedure in each individual case with your veterinarian.
The chances of recovery can vary greatly depending on the course of the disease. The prognosis for animals with peracute disease is poor, while animals with acute disease have a good chance of making a full recovery if the infection is detected and treated in time.
There is no vaccination to prevent the disease. The most effective protection against piroplasmosis infection is to prevent contact with ticks. Horses from endemic areas should be checked for ticks daily. Since the pathogen is not transmitted until 12 to 24 hours after the tick bite, potential infections can be effectively prevented by removing ticks immediately. Certain tick repellents can also be used on horses to protect them from tick contact.
The risk of disease can also be reduced with appropriate pasture management. A pasture without bushes and undergrowth, where the grass is kept short, is ideal for keeping ticks away.
To remove the tick correctly and completely, always use tick tweezers or a tick card. Use these to grasp the tick as close to your horse's skin as possible. Pull the tick out slowly without twisting or squeezing it. If the tick is squashed or stressed by prolonged manipulation, it will release more saliva and thus more pathogens. If the tick's mouthparts or head remain stuck in the skin after removal, this can lead to inflammation or allergic reactions.
Then thoroughly disinfect the bite area and your hands. Dispose of the tick by burning it or wrapping it in paper towels and crushing it. Alternatively, you can simply fix it between two strips of adhesive tape. Then dispose of it in the household waste. If you want to know whether the tick is infected with babesia or other pathogens, send it alive in a well-sealed plastic bag by mail to a special laboratory.
Observe your horse for signs such as fever or fatigue over the next few weeks. If you suspect an infection, contact your vet immediately.
There are also "bleeders" among animals: animals with blood clotting disorders. These are either congenital or caused by another underlying disease. They are rare in animals, but can quickly become life-threatening in the event of major injuries.
Lyme disease is a globally widespread infectious disease transmitted by ticks that can affect both humans and our pets, especially dogs but also horses. Even though the disease is very rare in horses, Lyme disease should always be considered in cases of long-standing lameness, neck pain, or coordination disorders with no clear cause.
It's good that our dogs need to go outside regularly! This gives us the opportunity to take a break from our everyday routine of work, household chores, and everything else, to get some fresh air, relax, and do something for our bodies. Your dog can also be your exercise partner! There are various sports that are suitable for this. Make sure that you adapt the activity and level of exertion to your dog's breed, age, and health. It is also important that you do not overtax your dog and adapt the training to the circumstances. For example, a jog in the summer can push him to his physical limits, but you may not even notice because he is faithfully following you. Unfortunately, this can also have fatal consequences for your four-legged friend. So always be mindful—towards yourself and your faithful companion.
For many people, vacation time is the best time of the year. Spending time with family, friends, or simply relaxing on your own. Getting away from everyday life, unwinding, or experiencing something completely different. Everyone has their own idea of the perfect vacation. For dog owners, there is an additional question to consider: Should you travel with your dog, or have a plan B ready? For most people, their best friend is part of the trip—after all, they are a loyal companion in everyday life.
This disease, also known as piroplasmosis or canine malaria, is widespread worldwide, but especially in the tropics and Mediterranean countries. Due to increasing travel and the import of rescue dogs from southern Europe, independent infections are now also being detected in Germany, Austria, and Switzerland. The pathogen is transmitted to dogs by ticks and causes anemia and jaundice.
According to the American Kennel Club, the Beagle is one of the top 10 most popular dog breeds worldwide. With its friendly nature and even temperament, it is suitable for many families. Its active nature, history as a hunting dog, and independence make it an exciting dog breed with special needs.
Danger can lurk anywhere, whether at the side of the road, in forests, or even in your own pasture. Eating poisonous plants can be fatal for horses. But plants are not the only source of danger when it comes to poisoning.
The term "cat flu" or "cat flu complex" refers to all infectious diseases of the upper respiratory tract and mucous membranes of cats, with the nose, mouth, and eyes being affected in most cases. Since the interaction of various factors leads to the onset of symptoms, this is referred to as a multifactorial disease. Cats that live in shelters, breeding facilities, multi-cat households, or under very poor hygienic conditions are particularly susceptible to cat flu.
Horses and humans speak different languages. While humans primarily communicate through spoken language, horses mainly communicate through body language. It is important that you understand your horse in order to work together harmoniously. Here is a little translation guide to help you.
It can occur suddenly or develop slowly and almost unnoticed. The horse seems to be stiff, and riding together is no longer enjoyable. What is going on?
With age, signs of wear and tear become noticeable in the body, even in our horses. Good care, adequate nutrition, and appropriate training are the best prerequisites for a long, healthy horse life. It is always important to remain attentive in order to quickly notice small changes and take action.
You drive to the stable in high spirits and lead your horse out of the pasture full of enthusiasm. But as soon as you start walking it to the grooming area, you notice that something is wrong. The familiar sound of hooves on the ground sounds somehow different. When you lunge your horse, it becomes clear: your horse is lame!