When the body produces antibodies against its own structures, this is referred to as an autoimmune disease. The immune system mistakenly attacks parts of the body, thereby damaging certain functions and organs—in some cases leading to their complete destruction. Autoimmune diseases in dogs include various forms of the pemphigus and lupus complexes. The individual diseases are distinguished based on the different target structures in the body.
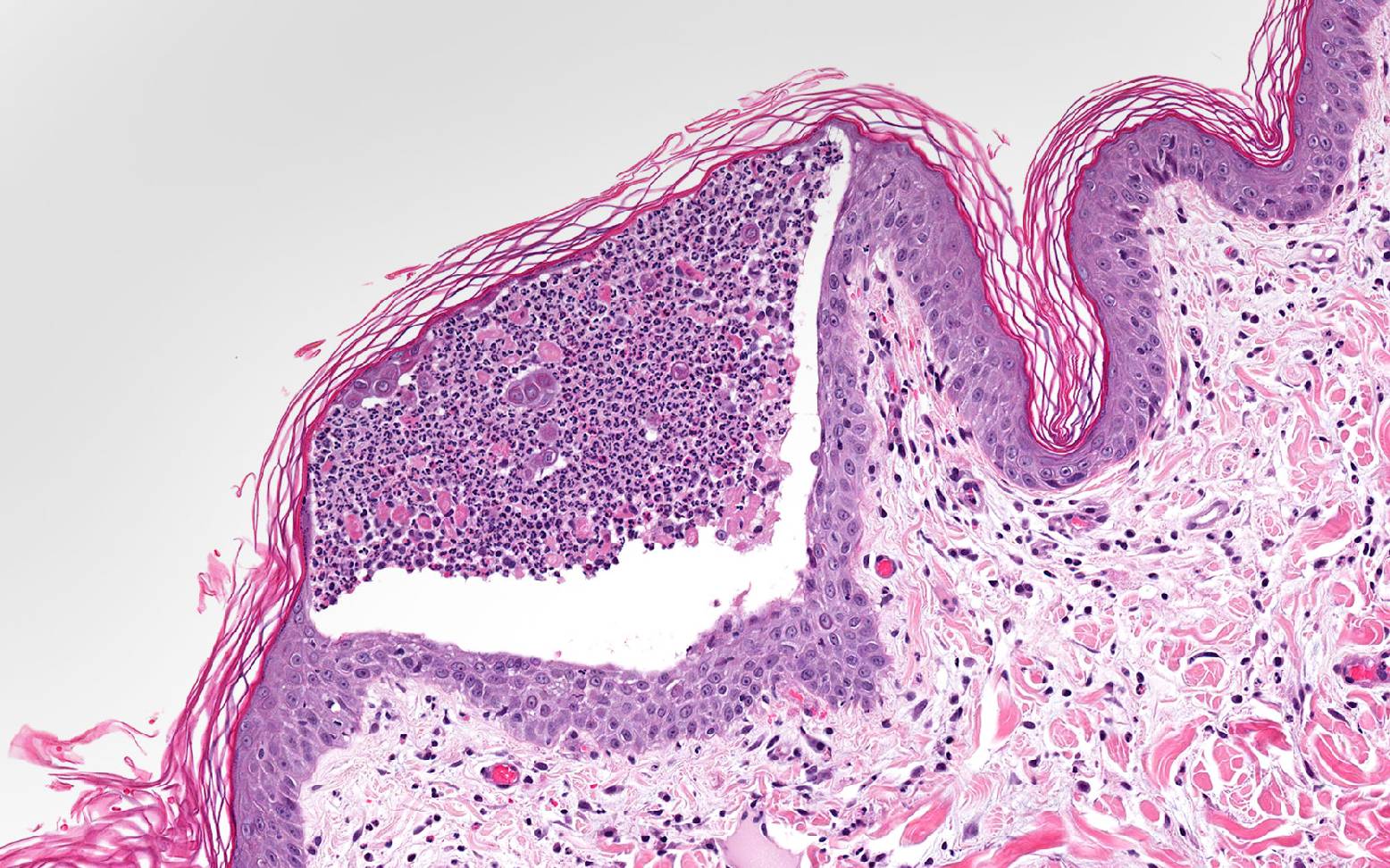
In the group of pemphigus diseases, the body produces immune cells that attack specific proteins that bind skin cells together. Pemphigus foliaceus is the most common form of pemphigus in dogs.
The destruction of these cellular connections leads to the formation of large pustules in the skin, which become inflamed. As the condition progresses, this causes the outermost layers of the skin to detach and die off. Extensive open skin wounds form, which heal poorly and are prone to infection. Symptoms are most commonly seen on the nose, bridge of the nose, around the eyes, ears, and paws, usually appearing as scabs, scales, or redness. In severe cases, fever and loss of appetite may also occur.
The characteristic clinical presentation allows your veterinarian to make an initial presumptive diagnosis. A biopsy (examination of a tissue sample) or the examination of cellular material from an opened pustule, combined with a blood sample, provides confirmation and thus confirms the diagnosis.
In pemphigus vulgaris, the body’s immune response targets cell junctions located much deeper within the skin. This manifests in the disease’s presentation as significantly more severe skin changes.
At the onset of the disease, blister-like lesions also appear, but these quickly progress to deeper tissue damage with an ulcerative character. Unlike pemphigus foliaceus, these lesions are found not only on the skin but also in the oral cavity and at the junctions between skin and mucous membranes. Affected dogs often exhibit general symptoms such as fever and loss of appetite.
Collies, Shelties, and Dobermans are predisposed (=particularly susceptible) to this very rare form of pemphigus.
The disease begins with the formation of small blisters caused by the destruction of the underlying connective structures of the skin. However, this stage is short-lived. The disease is usually first recognized by highly inflamed, ulcerated skin lesions, which most commonly occur in the axillary and inguinal regions and in the oral cavity. The symptoms are difficult to distinguish from those of pemphigus vulgaris.
Triggers for this form of pemphigus—which is thought to be a benign or early form of pemphigus foliaceus or systemic lupus—can include medications, viruses, or UV light in individuals with a corresponding genetic predisposition.
The immune system’s overreaction primarily targets cell junctions at the skin-mucous membrane interfaces, such as the nose, eyes, lips, anus, vagina, and foreskin. The skin lesions resemble those of pemphigus foliaceus, but the general well-being of affected dogs is not impaired.
All forms of pemphigus are treated with medications that suppress the immune system’s overreaction and allow the inflammation to heal. The destruction of the uppermost layers of the skin leads to increased sensitivity to sunlight, which is why protection from strong sunlight must be an essential part of the therapy to prevent long-term damage.
Unlike pemphigus diseases, lupus diseases attack the cell nuclei rather than the cell junctions.
Systemic lupus erythematosus can be triggered or exacerbated by many different diseases, physical factors, and medications. In this case, the body’s immune response targets a wide variety of cells in all organ systems and tissues of the body.
Depending on the location of the immune response, the disease manifests itself through a wide range of skin and organ symptoms, some of which can be severe. In addition to the redness and ulcerative skin lesions on the head and limbs that occur in most cases, systemic lupus often also causes fatigue, fever, joint and muscle pain, or exhaustion. If left untreated, the disease can quickly lead to death.
The wide range of possible organ and skin symptoms makes diagnosis difficult. Examination of tissue samples and detection of autoantibodies in the blood are essential to rule out all possible differential diagnoses (=diseases with similar symptoms).
Discoid lupus erythematosus describes the benign form of lupus, which is limited to specific areas of the skin. It occurs relatively frequently in dogs, with German Shepherds, Huskies, Collies, and Shelties being particularly affected.
The first noticeable symptoms are usually loss of pigmentation, redness, and ulceration (formation of sores) around the nose, and less commonly on the lips, eyelids, and ears. The lesions sometimes heal spontaneously, but remain very sensitive and can quickly reopen and bleed. UV light and secondary infections can lead to a significant worsening of symptoms.
Here, too, a biopsy is necessary to make a definitive diagnosis and rule out other skin and autoimmune diseases.
Here, too, medications are used to suppress the immune system’s overreaction and allow the inflammation to heal. Affected dogs must be consistently protected from strong sunlight due to the extensive depigmentation. This can be achieved by administering special vitamins and applying UV-protective ointments to the affected areas.
The prognosis for all autoimmune skin diseases should always be viewed with caution. Among all forms of lupus and pemphigus, pemphigus foliaceus has the most favorable prognosis. The more severe the skin damage, the more serious the course of the disease. However, for a dog whose condition is well-managed with appropriate medication, the chances of living with the disease are generally good. Treatment, however, usually needs to be continued for life.
This disease, also known as endothelial dystrophy, is a change in the cornea of the eye and is similar to Fuchs' dystrophy in humans. This disease causes damage to the endothelial cells that form the innermost layer of the cornea.
The word distichiasis comes from Greek and means "two rows." In this condition, an extra row of eyelash-like hairs (distichia) grows out of the sebaceous gland openings at the edge of the eyelid. Since these misplaced, hard hairs grow toward the eyeball, they cause permanent irritation and damage to the cornea. Another form of distichiasis is ectopic cilia. These are scattered hair follicles that grow out of the inside of the eyelid as individual bristly hairs or as a whole tuft of hair, standing perpendicular to the cornea and causing permanent irritation to the eye. Ectopic cilia are most commonly found on the upper eyelid in dogs and very rarely in cats.
For people who have always been around dogs, talking to their four-legged friends is probably easy and almost second nature. But at the beginning of the relationship, it is important to immerse yourself in the dog's world and meet it where it is coming from. So you have to learn its language—not the other way around.
A doping scandal in dressage brought this condition to the attention of riders. An increasing number of horses, particularly competition horses, are now affected by this neuromuscular disorder. The causes remain largely unknown. Shivering is considered incurable and can severely impair the horse in some cases. Large, heavy, and male horses between the ages of four and seven, as well as horses with naturally high muscle tone, are particularly at risk.
This infectious disease caused by the coronavirus affects only cats and occurs worldwide. The disease remains one of the most common causes of death in cats. The name is derived from the most common symptom of this disease, peritonitis (inflammation of the abdominal lining).
The West Nile virus is transmitted by mosquitoes between birds, but also to humans, horses, and other mammals. For a long time, it only occurred on the African continent. However, since 1999, the West Nile virus has also spread to the US. In 2018, it was detected for the first time in birds and two horses in Germany (Saxony and Saxony-Anhalt). Since then, infections have occurred in the summer and fall months. Berlin, Brandenburg, Saxony-Anhalt, and Saxony are particularly affected. However, more and more cases are now also occurring in Thuringia, Mecklenburg-Western Pomerania, Hamburg, Schleswig-Holstein, Lower Saxony, Rhineland-Palatinate, and Bavaria. West Nile infection is a notifiable animal disease.
The prostate gland is the most important sex gland in male dogs. It is located behind the bladder and surrounds the beginning of the urethra. The secretion produced by the prostate gland is a component of semen and is ejaculated together with the sperm produced in the testicles. Prostate disorders are usually diagnosed in older, unneutered male dogs. These disorders can cause various changes in the gland.
Claw disorders are relatively rare in dogs. However, injuries, excessive licking or poor grooming can cause the claw bed to become inflamed due to the penetration of bacteria or fungi. Symmetrical lupoid onychodystrophy (SLO) is the most common form of claw bed inflammation in dogs. This rare but extremely painful disease of the claw bed mainly affects large dogs (Great Danes, Rhodesian Ridgebacks, German Shepherds) and can be triggered by various factors.
This brain disorder, which has not yet been fully researched in dogs, causes seizures that can be very frightening for dog owners. Epilepsy can be treated very effectively with medication, but its cause is still not fully understood.
Behind this complicated name lies an aggressive form of cancer in dogs, also known as malignant histiocytosis. This hereditary condition occurs primarily in Bernese Mountain Dogs, Retrievers, and Rottweilers. In Bernese Mountain Dogs, it is the leading cause of death. It primarily affects male dogs between the ages of two and eight. The disease is relatively rare in other dog breeds.
The soft palate is a muscle extension approximately 10 cm long that separates the nasal cavity from the throat. As the name suggests, dorsal displacement of the soft palate (DDSP) describes a change in position in which the soft palate temporarily or permanently covers the epiglottis, leading to coughing, difficulty swallowing, and breathing problems.
There are all kinds of dangers lurking for cats, not only outside but also in the home. Young, playful, and curious kittens are particularly at risk. Therefore, take the necessary safety precautions before a cat moves in with you. With the right knowledge, you will be on the safe side.