Die Mitralklappenendokardiose (=MMVD) ist eine chronisch degenerative Erkrankung der Herzklappen. Sie stellt die häufigste Herzerkrankung des Hundes dar und betrifft vor allem ältere Hunde kleinerer Rassen. Eine Ausnahme stellt der Cavalier King Charles Spaniel dar, der häufig schon im Alter von 1,5 bis zwei Jahren erkrankt.
Die genauen Ursachen der Gewebeveränderungen sind nicht bekannt. Wissenschaftlichen Studien zufolge wird jedoch inzwischen davon ausgegangen, dass es sich grundsätzlich um ein erbliches Geschehen handelt, das durch weitere Faktoren (Umwelt, Fütterung) beeinflusst wird.
Im Herzen finden sich vier Herzklappen. Die Taschenklappen liegen zwischen Kammer und Ausströmungsgefäß, die Segelklappen zwischen Vorhof und Kammer. Die Klappen fungieren als Ventile und verhindern, dass es zu einem Rückfluss von Blut in die falsche Richtung kommt.
Die Mitralklappe ist eine Segelklappe und liegt zwischen dem linken Vorhof und der linken Herzkammer. Sie verhindert, dass Blut während der Anspannungsphase aus der Herzkammer zurück in den Vorhof strömt. Im Falle einer MMVD kommt es zu einer nicht entzündlichen Veränderung der Gewebestruktur der Klappen. Sie verdicken sich und die Klappenränder können sich einrollen, so dass sich die Klappe nicht mehr vollständig schließen kann und damit undicht wird. Es kommt zu einem zunehmenden Rückstrom von Blut in den linken Vorhof.
Die Folgen sind eine fortschreitende Vergrößerung von linkem Vorhof und linker Herzkammer. Die Mehrarbeit, die der Herzmuskel dadurch leisten muss, kann über lange Zeit vom Herzen selbst kompensiert werden, so dass beim Patienten keine klinischen Symptome auftreten. Wenn dies jedoch nicht mehr möglich ist, kommt es zum Rückstau von Blut in die Lunge wodurch sich allmählich ein Lungenödem (=Flüssigkeit in der Lunge) entwickelt.
Die Erkrankung wird anhand des Ausmaßes der Klappenundichtigkeit und der nachfolgenden Herzvergrößerung in verschiede Stadien eingeteilt.
Die Einteilung erfolgt nach der CHIEF-Klassifikation (=Canine Heart Failure International Expert Forum). Dieses Expertengremium hat eine einheitliche Klassifizierung von Herzerkrankungen beim Hund herausgegeben.
Dabei werden die Erkrankungen in die folgenden vier Stadien eingeteilt:
A=erhöhtes Risiko einer Herzerkrankung (genetische Prädisposition, Vorerkrankung)
B=Herzerkrankung ohne Symptome
B1=ohne Herzvergrößerung
B2=mit Herzvergrößerung
C=Herzerkrankung mit früheren oder bestehenden Symptomen
C1=stabile Herzschwäche mit früheren Symptomen (behandelt)
C2=Herzschwäche mit gering- bis mittelgradigen Symptomen
C3=Herzschwäche mit hochgradigen, lebensbedrohlichen Symptomen
D=Herzschwäche, die nicht mehr auf Medikamente anspricht, Maßnahmen nur lebenserhaltend
Die Erkrankung entwickelt sich schleichend und kann lange Jahre symptomlos verlaufen. Hunde mit einer MMVD im Stadium B1 zeigen keine Herzvergrößerung und keinerlei Symptome, so dass die Erkrankung meist nur zufällig beim Abhören im Rahmen tierärztlicher Routineuntersuchungen festgestellt wird. Dem Tierarzt fällt dabei ein abnormales Herzgeräusch auf, dass durch den Rückstrom an der erkrankten Klappe entsteht.
Im Stadium B2 hat sich das Herz aufgrund des zunehmenden Blutrückstaus bereits vergrößert und die Gefahr ist sehr viel größer, dass sich die Erkrankung schneller weiterentwickelt, auch wenn das Tier nach wie vor keine Symptome zeigt.
Im weiter fortgeschrittenen Stadium C sind deutliche Krankheitsanzeichen wahrnehmbar. Durch den Rückstau von Blut in die Lunge und die dadurch entstehende Wasseransammlung (=Lungenödem) in der Lunge kommt es zu Husten und Atemproblemen. Die mangelnde Herzfunktion kann weiterhin zu Leistungsschwäche, Ohnmachtsanfällen und Abmagerung führen.
Verschlechtern sich Atemwegssymptome kontinuierlich, sollte immer an eine Herzerkrankung gedacht und das Tier umgehend bei einem Tierarzt vorgestellt werden.
WICHTIG: Akute Atemnot oder wiederkehrende Ohnmachtsanfälle stellen immer einen akuten Notfall dar, der schnellstmöglich tierärztlich behandelt werden muss!
Da die Symptome nicht charakteristisch sind und bei vielen andere Erkrankungen auch auftreten können, ist es sehr wichtig, dass dein Hund beim Tierarzt gründlich untersucht wird. Für den Tierarzt ist neben der klinischen Untersuchung insbesondere auch dein Vorbericht sehr wichtig, da er daraus wertvolle Informationen hinsichtlich Beginn, Auftreten und Schweregrad der Symptome ableiten kann.
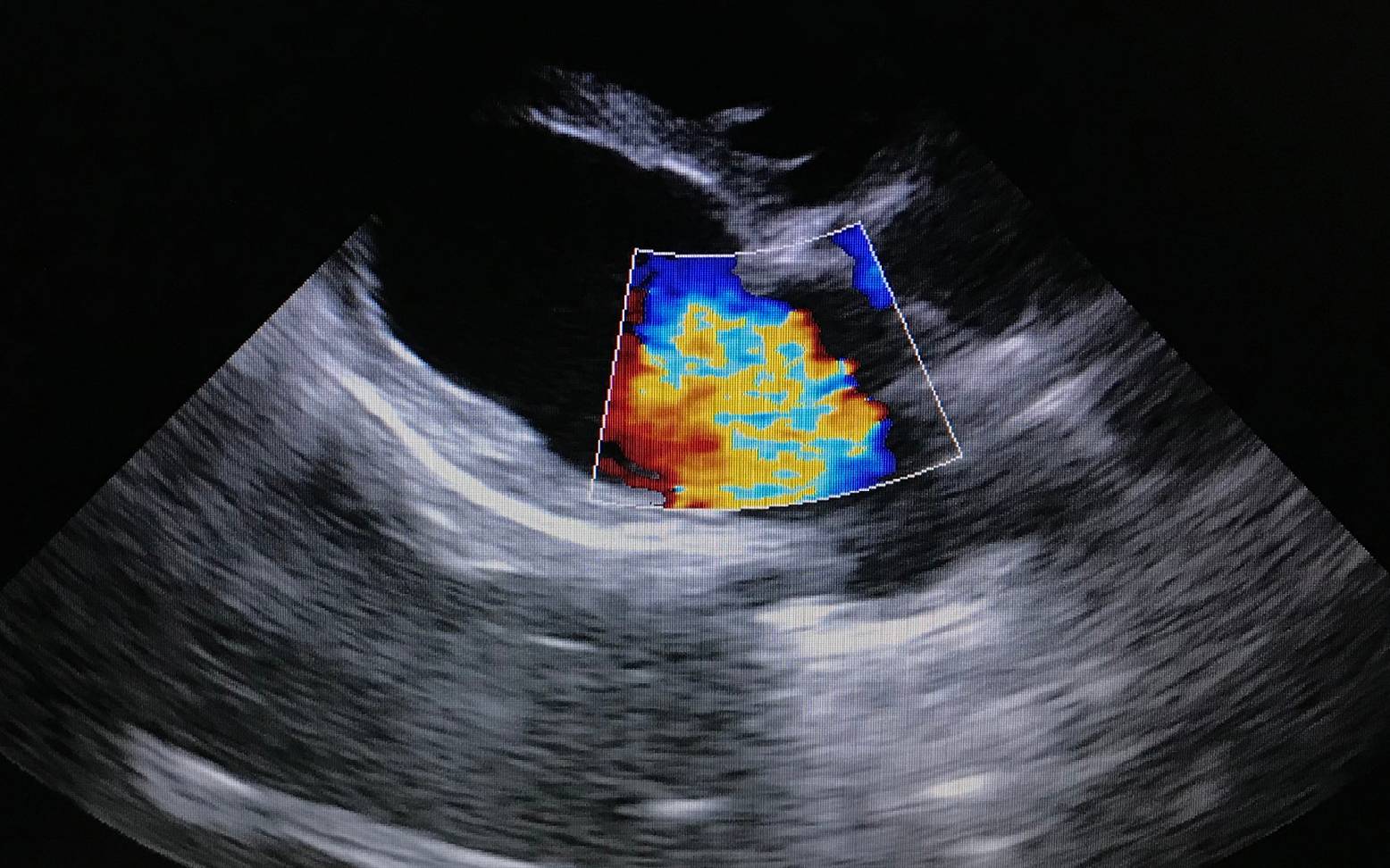
Auf die allgemeine Untersuchung folgt die spezielle Untersuchung des Herzens. Dabei wird das Herz zuerst abgehört (=Auskultation) und abgetastet. Meist kann anhand des hörbaren Herzgeräusches bereits eine erste Verdachtsdiagnose gestellt werden. Zur Sicherung der Diagnose ist jedoch die Herzultraschalluntersuchung unerlässlich, in welcher sich der Rückstrom des Blutes genau darstellen und messen lässt. Zusätzlich können Röntgen-, EKG- (=Elektrokardiogramm) und Blutdruckuntersuchungen die Diagnose bestätigen und weiter spezifizieren.
Da die Veränderungen an den Klappen nicht rückgängig zu machen sind, beschränkt sich die Behandlung darauf, das Fortschreiten der Erkrankung zu bremsen und die Symptome zu lindern. Es ist wichtig zu wissen, dass die entsprechenden Medikamente daher immer lebenslang verabreicht werden müssen.
Inzwischen stehen dem Tierarzt diverse unterschiedliche Herzmedikamente zur Behandlung der MMVD zur Verfügung, die er je nach Art und Ausmaß der Erkrankung einsetzen kann. Dabei kommen entwässernde und herzstärkende Mittel zum Einsatz. Mit Hilfe dieser Medikamente kann Hunden in den Stadien B und C so gut geholfen werden, dass sie ein nahezu beschwerdefreies weiteres Leben führen können.
Deine Tierarztpraxis wird dir im Einzelfall einen genauen Therapieplan erstellen und kann dir die Medikationen für deinen Hund digital an petsXL übermitteln, so dass du alle anstehenden Medikamentengaben in deiner Timeline findest und dir selbst dazu Erinnerungen einstellen kannst.
Begleitend zur medikamentösen Therapie sollte eine entsprechende natriumarme Diät gefüttert werden. Das erkrankte Tier sollte weiterhin regelmäßig ruhig bewegt werden, extreme körperliche Belastungen und erzwungene Bewegung (Joggen, Fahrrad fahren) müssen jedoch vermieden werden. Du kannst Atemfrequenz deines Hundes leicht selbst überprüfen, indem du jedes Heben und Senken des Brustkorbs zählst, während er schläft. Die Atemfrequenz in Ruhe sollte 30 Atemzüge pro Minute nicht überschreiten.
Plane mit deinem Herzpatienten regelmäßige tierärztliche Kontrolluntersuchungen ein. Auf diese Weise kann der Tierarzt das Fortschreiten der Erkrankung und den Therapieerfolg überprüfen.
Die Prognose ist stark abhängig vom Schweregrad und Stadium der Erkrankung. Viele Hunde können eine gut mit Medikamenten eingestellte MMVD ein Leben lang kompensieren, bei anderen wiederum kommt es schnell zur Dekompensation, so dass der Körper nicht mehr in der Lage ist, die Belastungen auszugleichen, wodurch sich die Prognose auch trotz Therapie erheblich verschlechtert.
Da es sich zum Großteil um ein erblich bedingtes Geschehen handelt, kann der Erkrankung schwer vorgebeugt werden. Mit Hilfe züchterischer Maßnahmen kann die Verbreitung der Erkrankung jedoch reduziert werden. In vielen Zuchtverbänden sind Herzultraschalluntersuchungen vorgeschrieben, um eine Zuchtzulassung zu erhalten. Insbesondere bei prädisponierten Rassen sollten regelmäßige tierärztliche Kontrolluntersuchungen des Herzens inklusive einer Ultraschalluntersuchung durchgeführt werden, um potenzielle Veränderungen frühzeitig erkennen und behandeln zu können.
Pferde sind Fluchttiere, macht ihnen etwas Angst, sind sie schneller weg, als mancher Besitzer schauen kann. Die Auslöser können vielfältig sein: der große grüne Traktor beim Ausritt, Plakate in einer Reithalle oder spielende Kinder auf dem Hof. Mit den richtigen Übungen kannst du deinem Pferd jedoch mit der Zeit zu mehr Gelassenheit verhelfen.
Wie in vielen anderen Sportarten spielt auch im Pferdesport das Thema Doping eine wichtige Rolle, wenn es um Wettkämpfe und Leistungsvergleiche geht. Anders als jedoch beispielsweise in der Leichtathletik ist es nicht der Mensch, der versucht seine eigene Leistung durch Einnahme bestimmter Substanzen zu steigern, sondern das Tier, dessen Leistung durch Verabreichung dieser Stoffe gesteigert werden soll. Seit der Olympischen Spiele 2004 in Athen ist das Thema Doping im Pferdesport aufgrund zahlreicher nachgewiesener Doping-Fälle auch öffentlich in den Fokus gerückt, was einen erheblichen Image-Schaden für den Pferdesport zur Folge hat.
Die Kaninchenpest oder medizinisch Myxomatose ist eine in ganz Mitteleuropa verbreitete gefährliche Virusinfektion der Haus- und Wildkaninchen. Die Erkrankung ist hochansteckend und kann in ungeschützten Beständen seuchenartige Züge annehmen. Als vorbeugender Schutz steht eine wirksame Schutzimpfung zur Verfügung. Feldhasen dagegen sind dem Erreger gegenüber nahezu unempfindlich.
Leben Freigänger oder Wohnungskatzen gesünder und glücklicher? Was sind die jeweiligen Vor- und Nachteile und was passt zu meiner Katze und meiner Lebenssituation am besten? Hier findest du nützliche Informationen zur Entscheidungsfindung.
So wie wir Menschen und der Hund erkranken auch immer mehr Katzen an der Stoffwechselkrankheit Diabetes. Die Zuckerkrankheit der Katze unterscheidet sich jedoch in einigen wesentlichen Aspekten von der des Hundes und des Menschen. Betroffen sind vor allem kastrierte Kater mittleren Alters. Maine Coon und Siamkatzen weisen eine erhöhte Anfälligkeit für Diabetes auf.
Für Besitzer und Reiter oft ein dramatischer Anblick: von einem Tag auf den anderen zeigt dein Pferd plötzlich eine hochgradige Lahmheit. Die betroffene Gliedmaße wird vermehrt geschont oder gar nicht mehr richtig aufgesetzt. Gelegentlich, jedoch nicht immer, fühlt sich der betroffene Huf wärmer an als die anderen Hufe. Es ist offensichtlich, dein Pferd hat starke Schmerzen und du vermutest das Schlimmste. Nicht selten handelt es sich dabei aber lediglich um ein Hufgeschwür. Der umgangssprachliche Begriff Hufgeschwür ist jedoch irreführend, da es sich nicht um ein Geschwür oder eine Gewebewucherung handelt, sondern um eine eitrige Entzündung in Form eines Abszesses. Rufe in einem solchen Fall bitte umgehend einen Tierarzt, der dein Tier untersucht, einen Verdacht gegebenenfalls bestätigen und sofort behandeln kann.
Deine Katze ist bestimmt ab und an für Abwechslung dankbar, vor allem wenn sie permanent in der Wohnung lebt. Natürlich spielen nicht nur Wohnungskatzen gern mit ihrem Menschen, auch Freigänger haben Spaß daran.
Bist du auch fasziniert von der Schönheit, Intelligenz und Charakterstärke der fröhlichen, verspielten Mitbewohner? Wunderbar! Dann haben wir hier einige Tipps für dich.
Kissing Spines bedeutet übersetzt etwa „die sich küssenden Dornfortsätze“. Es handelt sich um eine Veränderung an der Wirbelsäule des Pferdes. Hierbei kommt es zu einer deutlichen Verengung der Abstände zwischen den Dornfortsätzen der Brust- und Lendenwirbelsäule, häufig im Bereich der Sattellage. Die Diagnose fordert Reiter und Besitzer zur Aufmerksamkeit und dem richtigen Training auf.
Da die Leber eine sehr hohe Regenerationsfähigkeit und funktionelle Reservekapazität besitzt, verlaufen die meisten Lebererkrankungen beim Pferd zunächst ohne sichtbare Krankheitsanzeichen und werden erst in einem fortgeschrittenen Stadium diagnostiziert.
Erkrankungen der Nieren kommen beim Pferd eher selten vor, werden jedoch aufgrund ihrer eher unspezifischen Symptome nicht immer sofort erkannt und daher oft erst zu spät behandelt. In vielen Fällen sind Nierenerkrankungen Begleit- oder Folgeerscheinungen anderer Krankheiten.
Diese fälschlicherweise oft auch als Katzen-Leukose bezeichnete Erkrankung wird durch das Feline Leukämievirus hervorgerufen. Da das Virus jedoch neben bösartigen Tumoren des Lymphgewebes auch viele andere schwerwiegende Symptome verursacht, ist die Bezeichnung etwas irreführend.