Bei der Hypertrophe Kardiomyopathie (HCM), handelt es sich um die am häufigsten vorkommende Herzerkrankung der Katze. Bei Maine Coon sowie Ragdoll besteht eine genetische Veranlagung. Spät erkannt, kann sie lebensbedrohlich sein.
Unter einer Hypertrophie versteht man die Vergrößerung eines Organs, in diesem Fall die Verdickung des Herzmuskels. Eine Kardiomyopathie bezeichnet eine Herzmuskelerkrankung.
Infolge der Herzmuskelverdickung kann sich das Herz nicht mehr ausreichend mit Blut füllen und nicht mehr ausreichend Blut in den Körperkreislauf pumpen. Es kommt zum Rückstau von Blut in den Lungenkreislauf, was im fortgeschrittenen Stadium zu Wassereinlagerungen und Atemnot führen kann.
Es wird zwischen einer primären und einer sekundären HCM unterschieden.
Bei einer primären HCM ist der Herzmuskel selbst erkrankt. Bei einigen Katzenrassen, wie Maine Coon oder Ragdoll, konnte bereits nachgewiesen werden, dass ein genetischer Defekt für die Erkrankung des Herzmuskels verantwortlich ist. Der Schweregrad einer HCM wird jedoch noch von vielen weiteren Faktoren bestimmt.
Im Falle einer sekundären HCM verdickt sich der Herzmuskel aufgrund anderer zu Grunde liegender Erkrankungen, wie etwa einer Hyperthyreose (=Schilddrüsenüberfunktion), einer Nierenerkrankung oder eines Diabetes mellitus (siehe entsprechender Artikel).
Aufgrund der anfänglich nur sehr unauffälligen Symptome und der Tatsache, dass man Katzen in ihrer heutigen Haltungsform meist nicht unter Belastung beobachten kann, wie beispielsweise beim Jagen, bleibt die Erkrankung oft lange unerkannt. Nicht selten kommt es bei einigen Katzen ohne vorherige Krankheitsanzeichen zum plötzlichen Herztod.
Schreitet die Erkrankung langsam fort, können relativ plötzlich mangelnder Appetit, Müdigkeit, nachlassende Spielfreude, bläuliche Schleimhäute und vor allem Atemnot auftreten. Husten tritt im Gegensatz zum Menschen und Hund bei der Katze infolge einer Herzerkrankung nur sehr selten auf.
Im Zuge einer HCM kommt es bei der Katze durch Abschwemmung von Blutgerinnseln aus dem linken Herzvorhof relativ häufig zu Thrombembolien (=Verschluss eines Blutgefäßes durch ein Blutgerinnsel). Eine plötzliche Lähmung eines oder beider Hinterbeine oder eines Vorderbeins mit deutlichen Schmerzäußerungen der Katze kann ein typisches Symptom einer Aortenthrombose (=Blutgerinnsel, dass die Aorta verstopft) sein. Eine Thrombembolie ist ein akuter Notfall, der umgehend behandelt werden muss.
Auch die Tiermedizin ist heutzutage in viele Spezialbereiche aufgeteilt. Solltest du den Verdacht haben, dass deine Katze an Herzproblemen leidet, ist es sinnvoll, diese einem/einer auf Herzerkrankungen spezialisierten Tierärzt:in, einem/einer sogenannten Kardiolog:in, vorzustellen. Du kannst selbstverständlich auch als erstes deine/n Haustierärzt:in aufsuchen und dich von ihm/ihr an eine/n Spezialist:in überweisen lassen. In den meisten Fällen verfügt die spezialisierte Praxis oder Klinik über alle notwendigen Untersuchungsmethoden und -geräte.
Der/die Kardiolog:in führt selbstverständlich auch eine allgemeine Untersuchung, aber eben auch eine spezielle Herzuntersuchung durch. Er/sie hört das Herz und die Lunge mit einem Stethoskop ab. Dabei kann er/sie bereits Befunde erheben, wobei jedoch viele an HCM erkrankte Katzen keinerlei Abnormalitäten zeigen. Umgekehrt haben auch einige gesunde Katzen ein Herzgeräusch, ohne an einer Erkrankung zu leiden. Auch ein Elektrokardiogramm (=EKG, Aufzeichnung der elektrischen Aktivitäten des Herzens, siehe entsprechender Artikel) liefert meist keine eindeutigen Hinweise.
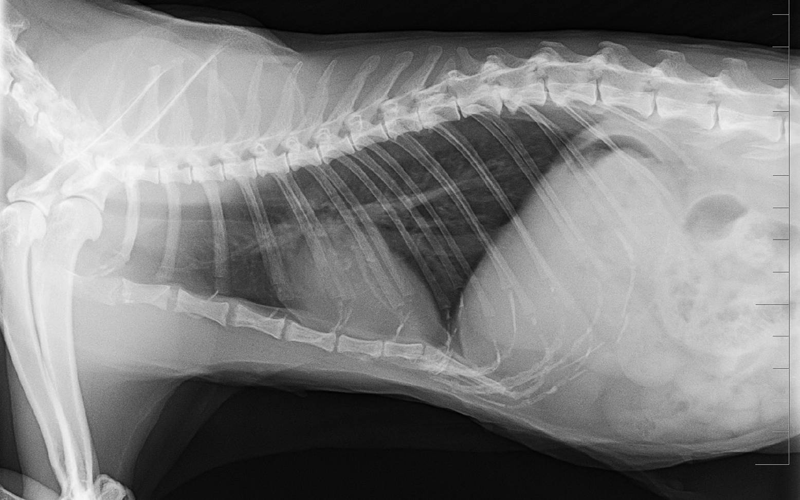
Mit Hilfe einer Blutuntersuchung können herzspezifische Werte ermittelt werden, deren Höhe Auskunft über die Wahrscheinlichkeit einer HCM geben. Durch eine Röntgenuntersuchung können Größe und Form von Herz und Lunge bestimmt und eventuelle Flüssigkeitsansammlungen in der Lunge, das sogenannte Lungenödem und im Brustraum, ein sogenannter Brusthöhlenerguss, festgestellt werden.
Die einzig sichere Nachweismethode bleibt die Echokardiografie (=Ultraschalluntersuchung des Herzens, siehe entsprechender Artikel), bei der die genaue Dicke des Herzmuskels, die Funktion der Herzklappen und der Blutfluss dargestellt und bestimmt werden können. Auch Blutgerinnsel können im Ultraschall schon im Anfangsstadium erkannt werden, so dass zeitnah eine Therapie eingeleitet werden kann, um einer Thrombose vorzubeugen.
Die jeweilige Behandlung richtet sich nach dem Zeitpunkt der Diagnose und dem Stadium der Erkrankung. Bei bereits frühzeitig diagnostizierter HCM ohne Symptome wird der/die Tierärzt:in im Einzelfall entscheiden, ob und wie eine medikamentöse Therapie eingeleitet wird. Dies ist abhängig von der Herzfrequenz und den entsprechenden Ultraschallbefunden.
Wird die HCM erst in einem fortgeschrittenen Stadium mit bestehendem Lungenödem oder Brusthöhlenerguss festgestellt, muss die betroffene Katze behandelt werden, um eine Verschlimmerung der Symptome zu verhindern. Je nach Schweregrad werden entwässernde, kreislaufstabilisierende oder auch herzstärkende Medikamente eingesetzt. Bei lebensbedrohlichen Zuständen müssen diese Katzen stationär in einer Klinik behandelt werden.
Die Prognose einer HCM ist abhängig von der Rasse, dem Zeitpunkt der Diagnose, dem Schweregrad der Erkrankung und dem Ansprechen auf eine Therapie. Einige Rassen, wie zum Beispiel Maine Coon, erkranken früher und schwerwiegender an HCM und haben ein höheres Risiko an einem plötzlichen Herztod zu sterben als andere Rassen. Das Auftreten von Thrombembolien verschlechtert die Prognose erheblich, da auch nach erfolgreicher Therapie Rückfälle möglich sind. Wird eine HCM bereits im Anfangsstadium diagnostiziert, besteht eine gute Prognose für das weitere Leben der betroffenen Katzen.
Das Auftreten von Herzmuskelerkrankungen lässt sich bei der Katze nicht vollständig verhindern. Insbesondere bei gefährdeten Rassen können jedoch regelmäßige Herzultraschallkontrollen bei einem/einer tierärztlichen Kardiolog:in dafür sorgen, dass Veränderungen frühzeitig erkannt und behandelt werden können. Einige der betroffenen Zuchtverbände schreiben derartige Untersuchungen vor einem Zuchteinsatz bereits vor.
Eine Katze, die beginnt zu markieren, sollte schnellstmöglich genauer in den Blick genommen werden. Du als Halter solltest die Ursache rasch finden und beheben, denn das Markieren kann zu einer wirklich unangenehmen Eigenart werden, die nicht nur deine Nase provoziert, sondern auch die Emotionen bei ständiger Wiederholung Achterbahn fahren lässt.
Denkst du darüber nach, deinem Hund einen Artgenossen zur Seite zu stellen? Ja, gemeinsam das Revier zu erobern oder zusammen auf Herrchen und Frauchen zu warten – das ist viel angenehmer als allein! Vorausgesetzt, die Gefährten mögen einander. Falls nicht, kann das Projekt Zweithund auch für Probleme sorgen. Es ist deshalb gut, sich vorher ein paar Gedanken dazu zu machen.
Eine Magendrehung ist immer ein Notfall. Schon beim Vorliegen verdächtiger Symptome solltest du deinen Hund umgehend in eine Tierklinik bringen, da eine Magendrehung unbehandelt schnell zum Tod führen kann. Jeder Hund kann eine Magendrehung bekommen, allerdings sind häufiger mittelgroße bis große Rassen mit tiefem Brustkorb betroffen.
Welches Kind träumt nicht davon, ein eigenes Pony zu haben? Viele der kleinen Pferdefans betteln über Jahre darum. Doch unsere Kleinen wissen nicht wirklich, was es bedeutet, sich ein Pony anzuschaffen und damit eine große Verantwortung zu übernehmen. Sie sehen sich nur unbeschwert mit ihrem vierbeinigen Freund über Stock und Stein galoppieren.
Endlich ist es geschafft. Die Stute hat ihre Trächtigkeit von etwa 335 Tagen gut hinter sich gebracht. Das Euter hat sich bereits vor zwei bis vier Wochen mit Milch gefüllt und ist entsprechend prall. Die äußeren Anzeichen verraten es. Das Fohlen ist bereit, das Licht der Welt zu erblicken.
Vogel ist nicht gleich Vogel. Einer ist groß, der andere klein, einer laut, ein anderer leise… Um die Vogelart zu finden, die am besten zu dir passt, ist es gut, wenn du dir vorab einige wichtige Fragen stellst.
Die meisten Pferdebesitzer kennen und fürchten dieses Bild. Das Pferd frisst plötzlich nicht mehr, ist unruhig, scharrt mit den Hufen und tritt sich unter den Bauch. Eine Kolik beschreibt im Grunde jegliche Art von Bauchschmerzen beim Pferd. Koliken beim Pferd sind leider ein sehr komplexes Problem und sollten niemals auf die leichte Schulter genommen werden.
Der normal-gesunde Druck auf die Augeninnenwand führt zu einer konstanten, glatten Hornhautwölbung. Beim Grünen Star ist der Augeninnendruck erhöht. Dies führt zu Schädigungen der Netzhaut und des Sehnervs. Der aus dem Griechischen stammende medizinische Begriff Glaukom bedeutet „meeresfarben“, da sich die Hornhaut durch den Druckanstieg im Auge bläulich verfärbt.
Ein Pferd ist ziemlich groß und die Schäden, die es anrichten kann, sind es auch. Da kommen in einem Schadensfall schon mal ein paar tausend Euro zusammen. Eine stattliche Summe kann auch fällig werden, wenn dein Pferd krank wird oder sogar operiert werden muss. Ganz zu schweigen von den finanziellen Sorgen, wenn du dein Pferd verleihst und es zu einem Reitunfall kommt. Es ist deshalb sehr sinnvoll und wichtig, sich Gedanken für den Fall der Fälle zu machen. Versicherungen werden reichlich angeboten. Pferdehalter:innen und Reiter:innen sollten sich genau informieren und die individuell passende Versicherung für sich wählen. Im Folgenden sind einige Versicherungen und Fälle zusammengestellt.
Bevor du dir einen Hund anschafft, solltest du nicht nur die wichtigen Fragen nach dem geeignetem Lebensumfeld, Alltag und Versorgungsmöglichkeiten klären. Du solltest dich darüber hinaus auch mit Fragen zur Absicherung befassen. Und die beginnen oft mit: „Was wäre, wenn …?“. Ja, du vermutest richtig: Es geht um Versicherungen.
Katze ist zwar nicht gleich Katze – aber einige charakteristische Züge haben schon die meisten von ihnen! Hier deshalb einiges, was es über Katzen und unsere besondere Beziehung zu ihnen zu wissen gibt.
Schweine sind gesellige Tiere, die ihrem Menschen sehr zugetan sein können. Mit ausreichend Platz und Freude an diesen intelligenten Wesen macht ein Zusammenleben große Freude. Wer mit dem Gedanken spielt, sich ein Minischwein wie eine Katze oder einen Hund zu halten, also auch in der Wohnung, sollte sich vorher jedoch intensiv belesen und die Bedürfnisse eines kleinen Schweines studieren. Die sind nämlich nicht anders als bei den großen Schweinen. Minischweine werden manchmal auch „Teacup“ genannt, weil ein Ferkel direkt nach der Geburt so klein ist, dass es in eine Teetasse passt. Doch Minischweine wachsen natürlich und werden auch rasch schwerer. Damit die Haltung artgerecht bleibt, braucht also auch ein Mini ausreichend Platz und ein Freigehege.