Die Hüftgelenkdysplasie (HD) ist eine sehr häufig vorkommende Skeletterkrankung des Hundes. Es handelt sich um eine erblich bedingte Fehlentwicklung des Hüftgelenks, die vorrangig bei großen Rassen vorkommt und teilweise bis zur Hälfte aller Hunde einer Rasse betrifft.
Die Erblichkeit der Erkrankung liegt je nach Rasse bei 20 bis 40 Prozent. Viele Zuchtverbände fordern für die Zuchtzulassung eines Hundes spezielle Untersuchungen auf HD-Freiheit, um das Vorkommen der Erkrankung zu reduzieren. Neben der erblichen Komponente spielen bei der Entstehung der HD noch viele weitere Faktoren eine Rolle. Fehlerhafte Ernährung und Überbelastung des Bewegungsapparats während der Wachstumsphase des Hundes können die Entstehung der Krankheit fördern.
Erkrankte Hunde fallen meist durch eine plötzliche Lahmheit, verminderte Aktivität oder Schwierigkeiten beim Aufstehen auf. Wird die Erkrankung nicht bereits im Welpenalter diagnostiziert, kann es durch die Kräftigung von Bindegewebe, Sehnen und Muskulatur zwischenzeitlich zu einer vermeintlichen Besserung der Symptome kommen. Die Instabilität der Hüftgelenke bleibt jedoch bestehen und führt im weiteren Verlauf zur Ausbildung einer Arthrose. Diese bereitet dem Hund im Erwachsenenalter erneut Schmerzen. Im fortgeschrittenen Stadium der Hüftarthrose leidet der Hund unter starken Bewegungseinschränkungen, Schmerzen, Lahmheiten und Muskelschwund an der Hinterhand.
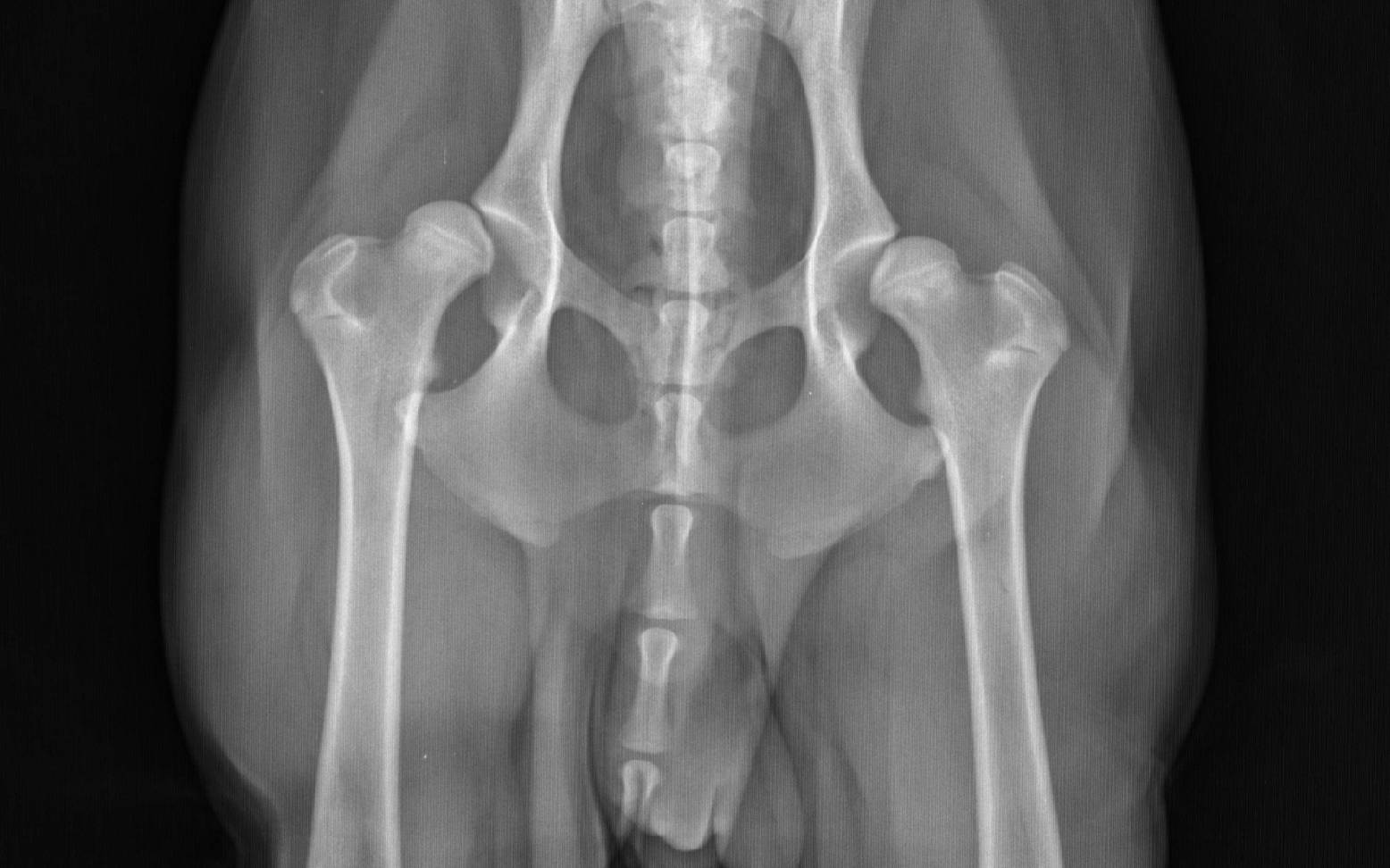
Dein/e Tierärzt:in erhält anhand deines Vorberichts und einer eingehenden orthopädischen Untersuchung schon deutliche Hinweise auf das Vorliegen einer HD. Durch verschiedene passive Mobilitätstests kann er/sie Schmerzhaftigkeit, Instabilität oder Bewegungseinschränkungen des Hüftgelenks feststellen. Der Verdacht einer HD kann allerdings nur mit Hilfe von Röntgenbildern eindeutig bestätigt werden. Um den exakten Grad der HD zu bestimmen, muss dein Hund ausgewachsen sein, da die Entwicklung des Hüftgelenks erst mit dem Ende des Knochenwachstums abgeschlossen ist.
Die von den verschiedenen Zuchtverbänden geforderten Röntgenaufnahmen dürfen daher erst ab einem bestimmten Mindestalter und nur nach speziellen Lagerungs- und Belichtungskriterien durchgeführt werden. Des Weiteren muss dein Hund für die Anfertigung offizieller Aufnahmen in Narkose gelegt werden. Werden die Aufnahmen nur zur Abklärung einer Lahmheit benötigt, ist dies zwar nicht vorgeschrieben, aber häufig auch notwendig und sinnvoll, um auswertbare Röntgenbilder zu erhalten.
Entsprechend der unterschiedlichen Ausprägung der HD stehen verschiedene Behandlungsmöglichkeiten zur Verfügung. Kontaktiere beim Vorliegen erster Symptome umgehend deine/n Tierärzt:in, um frühzeitig eine Diagnose zu erhalten und das Fortschreiten der Erkrankung einzudämmen. Die Behandlung schließt schmerzstillende und entzündungshemmende Medikamente in Kombination mit physiotherapeutischen Maßnahmen ein.
In Abhängigkeit vom Schweregrad der HD bestehen verschiedene Möglichkeiten, sie operativ zu behandeln. Eine bei jungen Hunden angewandte Methode ist die operative Umstellung der Gelenkpfanne. Diese zielt darauf ab, den Oberschenkelkopf besser aufzunehmen. Dagegen kann beim älteren Hund, ähnlich wie beim Menschen ein komplett künstliches Hüftgelenk eingesetzt werden. Dieser Gelenkersatz wird Totale Endoprothese (TEP) genannt. Dies ist zwar sehr kostenintensiv, führt in der Regel aber zu einer lebenslangen Beschwerdefreiheit. Eine weitere Methode ist die operative Entfernung des Gelenkkopfes des Oberschenkelknochens ohne Einsatz einer Prothese. In Folge dieser Operation bildet das Bindegewebe eine neue Verbindung zwischen Hüfte und Oberschenkelknochen, die aber nicht einer Gelenkverbindung gleich ist. Sie bedeutet eine deutliche Funktionseinschränkung, bietet deinem Hund jedoch noch eine angemessene Lebensqualität.
Die Aussichten auf eine Heilung sind bei HD sehr unterschiedlich. Bei gering ausgeprägter HD kann mit einer entsprechenden Behandlung ein guter Erfolg erzielt werden. Bei schweren Formen von HD sind die Aussichten auf eine komplette Heilung eher schlecht. Hier geht es vorrangig darum, deinem Hund die Schmerzen zu nehmen und ein einigermaßen erträgliches Leben zu ermöglichen.
Durch die erwähnten Zuchtuntersuchungen, die die verschiedenen Zuchtverbände ähnlich wie bei der Ellenbogengelenkdsyplasie (ED, siehe entsprechender Artikel) vorschreiben, leisten Züchter schon einen großen Beitrag zu einer verringerten Ausbreitung der Erkrankung. Da jedoch auch die Ernährung einen großen Einfluss auf die Entwicklung der HD hat, kannst du mit einem individuell angepassten Ernährungskonzept mit abgestimmtem Energie- und Proteingehalt, insbesondere in der Wachstumsphase, einer Entstehung von Gelenkbeschwerden vorbeugen.
Der Pferderücken hat für die Körperstabilität und die Bewegung eines Pferdes eine große Bedeutung. Er trägt zusätzlich das Gewicht des Reitenden. Voraussetzung für das Wohlergehen deines Pferdes, die langfristige Nutzung und das Erbringen von Leistung ist ein gesunder Pferderücken.
Wenn du mit dem Gedanken spielst, ein Kaninchen als Haustier zu halten, solltest du unbedingt im Vorfeld recherchieren, wie diese Tiere gern leben und was sie brauchen. Stelle dir auch die Frage, warum es überhaupt ein Kaninchen sein soll. Als reine Kuscheltiere für die jüngsten Tierfans sollten die kleinen Hoppler nicht angeschafft werden. Insbesondere Kinder sollten von Anfang an lernen, dass zum Umgang mit den Tieren ein gewisses Maß an Verständnis und Verantwortung dazugehört.
Das EKG ist ein Messgerät, das zur Diagnostik von Herzerkrankungen eingesetzt wird. Es misst die elektrischen Impulse, die durch die Aktivität des Herzens ausgesandt werden.
Bei der Blutdruckmessung wird der Druck in den Blutgefäßen bestimmt. Er setzt sich aus zwei Werten zusammen, dem systolischen (höheren) und dem diastolischen (niedrigeren) Blutdruck. Der systolische Blutdruck wird bestimmt, wenn sich das Herz zusammenzieht, um das Blut aus dem Herzen heraus zu pumpen. Sobald der Herzmuskel wieder erschlafft und das Blut wieder einströmt, wird der diastolische Blutdruck gemessen.
Beim Hund reißt wie bei uns Menschen sehr häufig das vordere Kreuzband. Dieses feste Band verbindet im Kniegelenk den Oberschenkelknochen mit dem Schienbein und verhindert ein Überstrecken oder Verdrehen des Knies. Während der Kreuzbandriss beim Menschen jedoch meist traumatisch durch Sportunfälle jeglicher Art entsteht, kommt es beim Hund über einen längeren Zeitraum zu einer schrittweisen Degeneration (=Verschleiß) des Bandes.
Was verbirgt sich hinter diesem fast unaussprechlichen Namen? Die Hyperkaliämische Periodische Paralyse ist eine erblich bedingte, unheilbare Stoffwechselkrankheit, die vorrangig Quarter Horses, Paint Horses und Appaloosas betrifft, deren Blutlinien alle auf den Quarter Horse Hengst “Impressive” zurückgehen.
Unter einer Parodontitis versteht man die Entzündung des Zahnhalteapparats, die bei Hunden die häufigste Erkrankung der Maulhöhle darstellt. Ab einem Alter von fünf Jahren kann bei bereits mehr als dreiviertel aller Hunde eine Parodontitis festgestellt werden. Die Erkrankung kann unbehandelt schwerwiegende Folgen für den gesamten Organismus haben.
Diese Erkrankung wird wegen der ähnlichen Symptomatik oft fälschlicherweise für einen Schlaganfall gehalten. Es handelt sich hierbei jedoch nicht um eine Durchblutungsstörung des Gehirns, sondern um eine Störung des Gleichgewichtsorgans. Dieses befindet sich im Innenohr.
Nicht selten kommt bei Hunden wie auch Katzen eine Pankreatitis (=Entzündung der Bauchspeicheldrüse) vor. Diese ist sehr schmerzhaft und kann schnell lebensbedrohlich werden.
Versucht deine Katze durch ein gekipptes Fenster nach draußen zu gelangen, kann dies schwere gesundheitliche Schäden zur Folge haben. Meist schaffen es Katzen noch, mit dem Kopf und Oberkörper hindurch zu schlüpfen, bleiben dann jedoch mit dem Becken im schrägen Spalt stecken. Befreiungsversuche verschlimmern die Situation nur noch, so dass sie immer weiter nach unten in den Spalt rutschen und sich einklemmen. Die Folgen sind zum Teil schwere äußere und innere Verletzungen. Diese werden zusammengefasst als Kippfenster-Syndrom bezeichnet und führen nicht selten auch zum Tod der Katze.
Mit zunehmendem Alter steigt die Anzahl der Katzen, die an der schleichend verlaufenden chronischen Nierenerkrankung (=CNE) leiden. 30 - 40 % aller über 10jährigen Katzen sind davon betroffen. Häufig bleibt sie lange unbemerkt. Die allmähliche Abnahme der Funktion der Nieren schreitet aber immer weiter voran. CNE ist eine der häufigsten Todesursachen bei Katzen und leider unheilbar.
Tumore an den Eierstöcken der Stute zählen zu den häufigsten Zubildungen des Geschlechtsapparats der Stute. Sie können unabhängig von Rasse und Alter auftreten und sind oft Grund für Verhaltensauffälligkeiten oder Störungen im Sexualzyklus der Stute. Je nach betroffener Zellart können unterschiedliche Tumorarten vorkommen, sie sind in der Regel jedoch gutartig.