Die Ellenbogengelenkdysplasie beschreibt einen Krankheitskomplex erblich bedingter Entwicklungsstörungen des Ellenbogengelenks. Sie tritt vor allem während der Wachstumsphase schnellwüchsiger, großer Hunderassen auf und führt zu unterschiedlich stark ausgeprägten Lahmheiten.
Die Ellenbogengelenkdysplasie (ED) wird durch eine Vielzahl von Faktoren ausgelöst, deren Ursachen teilweise noch unklar sind. Den größten Einfluss auf die Entstehung einer ED hat die genetische Komponente, auch wenn der genaue Erbgang noch nicht bekannt ist. Nicht alle Nachkommen eines ED-erkrankten Elterntieres entwickeln eine ED. Genauso können ED-freie Elterntiere die Anlage vererben.
Weitere Faktoren, die eine ED begünstigen oder Einfluss auf ihre Ausprägung haben, sind:
Weitere prädisponierende Faktoren werden vermutet. Man geht von einer sehr komplexen Entwicklung der Krankheit aus.
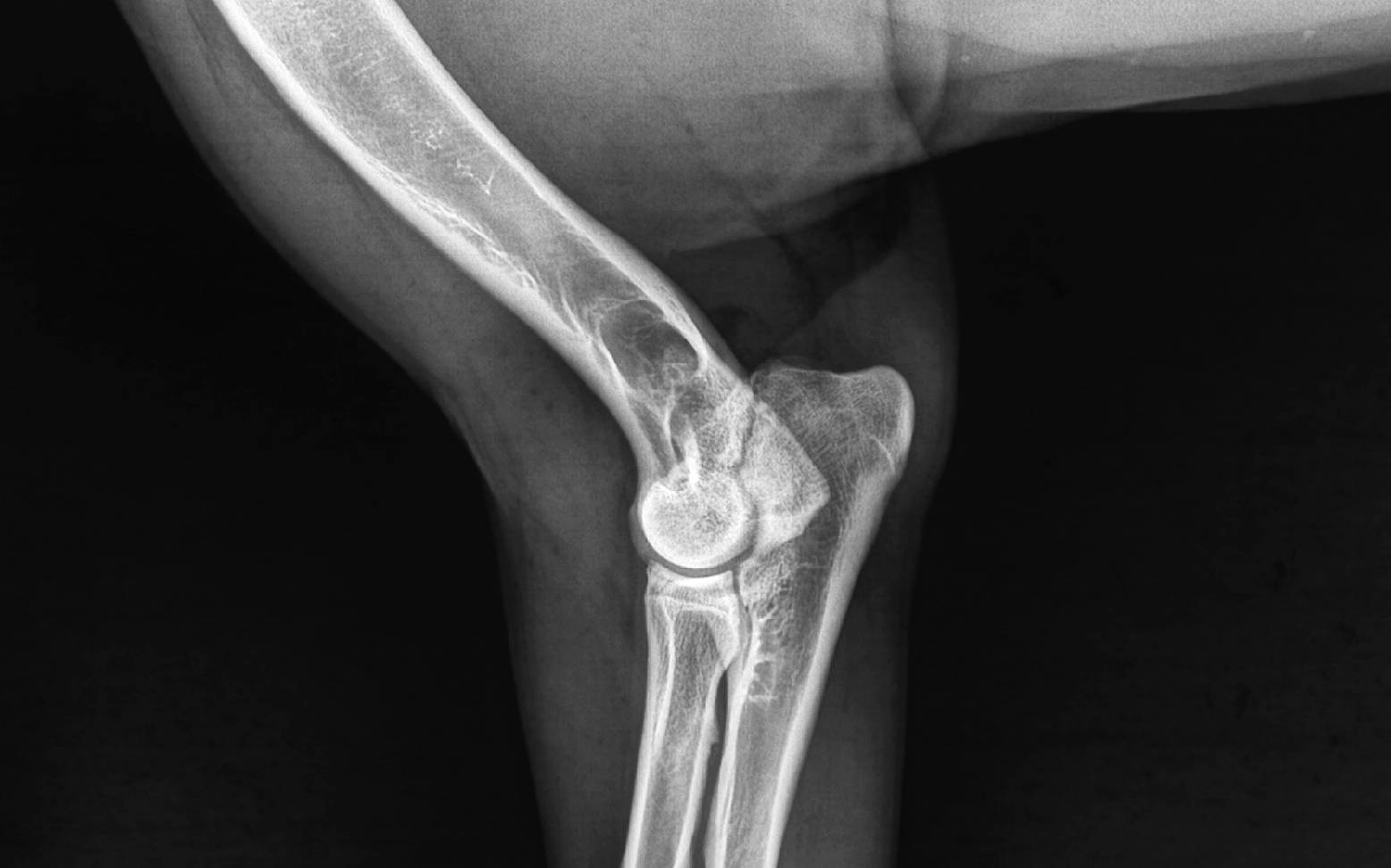
Das Ellenbogengelenk befindet sich am Vorderbein des Hundes und setzt sich aus Humerus (=Oberarmknochen), Ulna (=Elle) und Radius (=Speiche) zusammen. Für einen reibungslosen Bewegungsablauf müssen die Gelenkflächen genau zueinander passen. Man nimmt an, dass es durch eine Reifungsstörung des Knochens zu einer Inkongruenz (=ungenauen Passform) der Gelenkflächen und damit zu chronischen Umbauprozessen im Ellenbogengelenk kommt. Diese haben arthrotische Veränderungen und Knochenauswüchse zur Folge.
Die Erkrankung entwickelt sich im Alter von vier bis acht Monaten. Die ersten wahrnehmbaren Anzeichen der Erkrankung sind meist ein steifer Gang nach längeren Ruhephasen, unterschiedlich stark ausgeprägte Schmerzen und eine ein- oder beidseitige Lahmheit der Vordergliedmaßen. Besonders beidseitige Lahmheiten sind für Hundebesitzer:innen oft schwer zu erkennen. Schreitet die Erkrankung weiter fort, kommt es zur Rückbildung der Muskulatur, deutlichen Gelenkschwellungen und Bewegungseinschränkungen.
Der Komplex der ED setzt sich aus verschiedenen Erscheinungsformen zusammen:
Häufig treten zwei oder mehr dieser Formen gemeinsam auf.
Anhand deines Vorberichts und der klinischen Untersuchung erhält dein/e Tierärzt:in schon wertvolle Informationen über eine eventuelle Erkrankung des Ellenbogengelenks. Zur Bestätigung der Diagnose und Differenzierung der Gelenkveränderungen werden Röntgenaufnahmen angefertigt. Zur besseren Vergleichbarkeit werden grundsätzlich beide Seiten geröntgt. Ist auch im Röntgenbild kein sicherer Nachweis möglich, kann nur eine Arthroskopie (=Gelenkspiegelung, siehe entsprechender Artikel) oder ein CT (=Computertomografie, siehe entsprechender Artikel) eine genaue Diagnose ermöglichen.
Durch die von vielen Zuchtverbänden vorgeschriebenen Röntgenuntersuchungen werden zahlreiche Fälle von ED diagnostiziert, bevor eine Lahmheit vorliegt.
Die Behandlung der ED richtet sich nach der Erscheinungsform und der Ausprägung der Erkrankung. Grundsätzlich muss zwischen konservativen und operativen Behandlungsmethoden unterschieden werden, wobei derzeitig durch keines der beiden das Fortschreiten der Arthrose im Gelenk verhindert werden kann.
Liegen bei der OCD oder beim IPA losgelöste Knorpel- oder Knochenstücke vor, ist eine Operation immer sinnvoll, um die Fragmente aus dem Gelenk zu entfernen. Zu den weiteren Operationstechniken gehören beispielsweise der Entlastungsschnitt der Elle im Fall der Stufenbildung oder die Befestigung des isolierten Kronenfortsatzes beim IPA. Im Falle des FCP muss dein/e Tierärzt:in im Einzelfall sehr genau prüfen, ob eine konservative Schmerz- und Arthrose-Therapie oder eine chirurgische Maßnahme den größeren Erfolg versprechen. Besprich das genaue Vorgehen in Ruhe mit deinem/deiner Tierärzt:in.
Die ED an sich ist nicht heilbar. Mit entsprechender Therapie besteht je nach Ausmaß der Erkrankung jedoch die Chance, dass dein Hund den Umständen entsprechend gut mit der Erkrankung leben kann. Nach der operativen Behandlung ist die Prognose grundsätzlich besser, je früher eingegriffen wird und je weniger weit die Arthrose fortgeschritten ist.
Bedingt durch die genetische Disposition kann das Auftreten der Erkrankung nicht verhindert werden. Ähnlich wie bei der HD (=Hüftgelenkdysplasie, siehe entsprechender Artikel) schreiben jedoch viele Zuchtverbände eine verpflichtende Röntgenuntersuchung des Ellenbogengelenks vor einer möglichen Zuchtzulassung vor, um an ED erkrankte Hunde von der Zucht auszuschließen. So leisten die Züchter bereits einen wirkungsvollen Beitrag zur Verringerung des Auftretens der ED.
Aber auch du als Hundebesitzer:in kannst durch ein paar einfache Maßnahmen das Erkrankungsrisiko deines Hundes senken. Achte auf eine angepasste und ausgewogene Fütterung und vermeide die Gabe von Nahrungsergänzungsmitteln ohne vorherige Absprache mit deinem/deiner Tierärzt:in. Sorge während der Wachstumsphase deines Hundes für gleichmäßige und altersentsprechende Bewegung und vermeide besonders bei Junghunden großer Rassen dauerhafte Extrembelastungen wie etwa Fahrrad fahren.
Wenn du mit dem Gedanken spielst, ein Kaninchen als Haustier zu halten, solltest du unbedingt im Vorfeld recherchieren, wie diese Tiere gern leben und was sie brauchen. Stelle dir auch die Frage, warum es überhaupt ein Kaninchen sein soll. Als reine Kuscheltiere für die jüngsten Tierfans sollten die kleinen Hoppler nicht angeschafft werden. Insbesondere Kinder sollten von Anfang an lernen, dass zum Umgang mit den Tieren ein gewisses Maß an Verständnis und Verantwortung dazugehört.
Der Pferderücken hat für die Körperstabilität und die Bewegung eines Pferdes eine große Bedeutung. Er trägt zusätzlich das Gewicht des Reitenden. Voraussetzung für das Wohlergehen deines Pferdes, die langfristige Nutzung und das Erbringen von Leistung ist ein gesunder Pferderücken.
Das EKG ist ein Messgerät, das zur Diagnostik von Herzerkrankungen eingesetzt wird. Es misst die elektrischen Impulse, die durch die Aktivität des Herzens ausgesandt werden.
Bei der Blutdruckmessung wird der Druck in den Blutgefäßen bestimmt. Er setzt sich aus zwei Werten zusammen, dem systolischen (höheren) und dem diastolischen (niedrigeren) Blutdruck. Der systolische Blutdruck wird bestimmt, wenn sich das Herz zusammenzieht, um das Blut aus dem Herzen heraus zu pumpen. Sobald der Herzmuskel wieder erschlafft und das Blut wieder einströmt, wird der diastolische Blutdruck gemessen.
Beim Hund reißt wie bei uns Menschen sehr häufig das vordere Kreuzband. Dieses feste Band verbindet im Kniegelenk den Oberschenkelknochen mit dem Schienbein und verhindert ein Überstrecken oder Verdrehen des Knies. Während der Kreuzbandriss beim Menschen jedoch meist traumatisch durch Sportunfälle jeglicher Art entsteht, kommt es beim Hund über einen längeren Zeitraum zu einer schrittweisen Degeneration (=Verschleiß) des Bandes.
Was verbirgt sich hinter diesem fast unaussprechlichen Namen? Die Hyperkaliämische Periodische Paralyse ist eine erblich bedingte, unheilbare Stoffwechselkrankheit, die vorrangig Quarter Horses, Paint Horses und Appaloosas betrifft, deren Blutlinien alle auf den Quarter Horse Hengst “Impressive” zurückgehen.
Unter einer Parodontitis versteht man die Entzündung des Zahnhalteapparats, die bei Hunden die häufigste Erkrankung der Maulhöhle darstellt. Ab einem Alter von fünf Jahren kann bei bereits mehr als dreiviertel aller Hunde eine Parodontitis festgestellt werden. Die Erkrankung kann unbehandelt schwerwiegende Folgen für den gesamten Organismus haben.
Diese Erkrankung wird wegen der ähnlichen Symptomatik oft fälschlicherweise für einen Schlaganfall gehalten. Es handelt sich hierbei jedoch nicht um eine Durchblutungsstörung des Gehirns, sondern um eine Störung des Gleichgewichtsorgans. Dieses befindet sich im Innenohr.
Nicht selten kommt bei Hunden wie auch Katzen eine Pankreatitis (=Entzündung der Bauchspeicheldrüse) vor. Diese ist sehr schmerzhaft und kann schnell lebensbedrohlich werden.
Versucht deine Katze durch ein gekipptes Fenster nach draußen zu gelangen, kann dies schwere gesundheitliche Schäden zur Folge haben. Meist schaffen es Katzen noch, mit dem Kopf und Oberkörper hindurch zu schlüpfen, bleiben dann jedoch mit dem Becken im schrägen Spalt stecken. Befreiungsversuche verschlimmern die Situation nur noch, so dass sie immer weiter nach unten in den Spalt rutschen und sich einklemmen. Die Folgen sind zum Teil schwere äußere und innere Verletzungen. Diese werden zusammengefasst als Kippfenster-Syndrom bezeichnet und führen nicht selten auch zum Tod der Katze.
Mit zunehmendem Alter steigt die Anzahl der Katzen, die an der schleichend verlaufenden chronischen Nierenerkrankung (=CNE) leiden. 30 - 40 % aller über 10jährigen Katzen sind davon betroffen. Häufig bleibt sie lange unbemerkt. Die allmähliche Abnahme der Funktion der Nieren schreitet aber immer weiter voran. CNE ist eine der häufigsten Todesursachen bei Katzen und leider unheilbar.
Tumore an den Eierstöcken der Stute zählen zu den häufigsten Zubildungen des Geschlechtsapparats der Stute. Sie können unabhängig von Rasse und Alter auftreten und sind oft Grund für Verhaltensauffälligkeiten oder Störungen im Sexualzyklus der Stute. Je nach betroffener Zellart können unterschiedliche Tumorarten vorkommen, sie sind in der Regel jedoch gutartig.